
เผลอแปรงฟันแล้วเลือดออก? รู้สึกเสียวฟันจี๊ด ๆ เวลาดื่มน้ำเย็น? หรือสังเกตเห็นว่าฟันดูยาวขึ้น? อาการเหล่านี้อาจเป็นสัญญาณเตือนของภาวะเหงือกร่น ปัญหาที่หลายคนกำลังเผชิญแต่ไม่รู้จะจัดการอย่างไร การปล่อยทิ้งไว้อาจนำไปสู่การสูญเสียฟันได้ บทความนี้ Teeth Talk Dental Clinic จะพาคุณไปรู้จักอาการเหงือกร่น ตั้งแต่สาเหตุ อาการ ไปจนถึงวิธีรักษาที่ตรงจุด
เหงือกร่น (Gum Recession) คืออะไร?
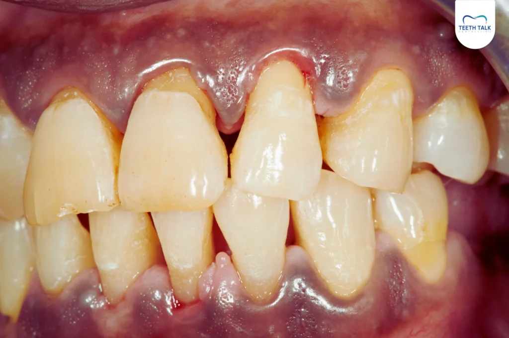
ภาวะที่เนื้อเยื่อเหงือกที่ห่อหุ้มฟันค่อย ๆ ถอยร่นลงไปจากตำแหน่งปกติ ซึ่งโดยปกติแล้วรากฟันควรจะถูกเหงือกและกระดูกยึดเกาะไว้ เมื่อรากฟันถูกเปิด จะทำให้เกิดร่องลึกบริเวณคอฟัน ซึ่งเป็นแหล่งสะสมของแบคทีเรียและคราบหินปูนได้ง่าย นำไปสู่อาการเสียวฟันและเพิ่มความเสี่ยงของฟันผุบริเวณรากฟัน
คุณกำลังมีภาวะเหงือกร่นหรือไม่? สังเกตอาการเหล่านี้

ภาวะเหงือกร่นมักเกิดขึ้นอย่างช้า ๆ ลองมาเช็กสัญญาณเตือนเหล่านี้ ที่บอกว่าคุณอาจกำลังมีปัญหากับสุขภาพเหงือก
เสียวฟันมากกว่าปกติ
นี่คือสัญญาณแรก ๆ ที่พบบ่อย เมื่อรากฟันที่ไม่มีเคลือบฟันถูกเปิดเผย จึงไวต่อสิ่งกระตุ้นภายนอกมาก ทำให้คุณรู้สึกเสียวฟันแปล๊บ ๆ ทันทีเมื่อทานของร้อน ของเย็น หรือแม้แต่อาหารรสเปรี้ยว/หวาน
ฟันดูยาวขึ้น
เป็นอาการที่สังเกตเห็นได้ด้วยตาเปล่า เมื่อขอบเหงือกถอยร่นลง จะทำให้เห็นตัวฟันในสัดส่วนที่ยาวขึ้นกว่าปกติ หรือดูยาวกว่าซี่ข้างเคียงอย่างชัดเจน ทำให้รอยยิ้มดูไม่สมดุล
เหงือกบวมแดง
เหงือกที่สุขภาพดีควรมีสีชมพูอ่อนและแนบสนิทกับฟัน หากเหงือกของคุณมีอาการบวม แดงอักเสบ หรือมีเลือดออกง่ายขณะแปรงฟัน (เลือดออกตามไรฟัน) นั่นคือสัญญาณของโรคเหงือกอักเสบ ซึ่งเป็นสาเหตุหลักที่นำไปสู่เหงือกร่น
มีกลิ่นปาก และฟันเริ่มโยก
ในกรณีที่เหงือกร่นรุนแรง ร่องลึกที่เกิดขึ้นจะเป็นที่สะสมของแบคทีเรียที่ยากต่อการทำความสะอาด ทำให้เกิดกลิ่นปากเรื้อรัง และหากการอักเสบลุกลามไปทำลายกระดูกที่รองรับฟัน จะส่งผลให้ฟันเริ่มไม่มั่นคงและมีอาการฟันโยกตามมาได้
สาเหตุที่ทำให้เหงือกร่น

ภาวะเหงือกร่นสามารถเกิดขึ้นได้จากหลายปัจจัย ทั้งจากพฤติกรรมและสภาวะของร่างกาย ดังนี้ :
- โรคปริทันต์อักเสบ (Periodontal Disease) : สาเหตุอันดับหนึ่ง เกิดจากการสะสมของคราบหินปูนที่เต็มไปด้วยแบคทีเรีย ซึ่งจะค่อย ๆ ทำลายเนื้อเยื่อเหงือกและกระดูกรอบรากฟัน
- การแปรงฟันที่รุนแรงหรือผิดวิธี : การใช้แปรงสีฟันขนแข็งเกินไป หรือการถูฟันแรง ๆ ในแนวนอนเป็นประจำ จะทำให้เนื้อเยื่อเหงือกที่บอบบางถูกทำลายจนร่นลง
- การดูแลช่องปากไม่เพียงพอ : การละเลยการแปรงฟันและใช้ไหมขัดฟัน ทำให้คราบจุลินทรีย์ (Plaque) สะสมจนกลายเป็นหินปูน (Calculus)
- พันธุกรรม : บางคนอาจมีลักษณะเหงือกที่บาง หรือมีความเปราะบางต่อโรคเหงือกมากกว่าปกติ ซึ่งถ่ายทอดทางพันธุกรรม
- การนอนกัดฟัน (Bruxism) : แรงบดเคี้ยวที่มากเกินไปจากการกัดฟัน จะสร้างแรงกดต่อฟันและเหงือก ทำให้เหงือกอักเสบและร่นได้ง่ายขึ้น
- การสูบบุหรี่ : สารพิษในบุหรี่ขัดขวางการไหลเวียนของเลือดไปเลี้ยงเหงือก ทำให้เหงือกอ่อนแอและติดเชื้อได้ง่าย
แนวทางการรักษาเหงือกร่น
การรักษาเหงือกร่นจะขึ้นอยู่กับความรุนแรงและสาเหตุของโรค โดยทันตแพทย์จะเป็นผู้วินิจฉัยและวางแผนการรักษาที่เหมาะสมที่สุด
การรักษาในระยะเริ่มต้น
หากภาวะเหงือกร่นยังไม่รุนแรง ทันตแพทย์จะเริ่มจากการ ขูดหินปูน (Scaling) เพื่อกำจัดคราบหินปูนที่เกาะอยู่เหนือและใต้ขอบเหงือก จากนั้นอาจตามด้วย การเกลารากฟัน (Root Planing) ซึ่งเป็นการทำความสะอาดผิวรากฟันให้เรียบ เพื่อกำจัดเชื้อโรคที่ฝังลึก และช่วยให้เหงือกสามารถกลับมายึดติดกับผิวฟันได้ดีขึ้น
การรักษาเมื่อเหงือกร่นมาก
ในกรณีที่เหงือกร่นมากจนเห็นรากฟันชัดเจน หรือมีการสูญเสียกระดูกร่วมด้วย ทันตแพทย์อาจพิจารณาการผ่าตัด เช่น การปลูกถ่ายเนื้อเยื่อเหงือก (Gum Grafting) โดยนำเนื้อเยื่อส่วนอื่น (เช่น เพดานปาก) มาปลูกถ่ายเพื่อปกป้องรากฟัน หรือในบางกรณีที่สูญเสียกระดูก อาจต้องใช้เทคนิค การซ่อมแซมกระดูก (Bone Regeneration) เพื่อฟื้นฟูโครงสร้างที่รองรับฟัน
รักษาเหงือกร่นที่ Teeth Talk Dental Clinic มั่นใจ ปลอดภัย ดูแลโดยทันตแพทย์ชำนาญการ

เราเข้าใจดีว่าภาวะเหงือกร่นไม่ใช่แค่ปัญหาฟัน แต่เป็นความกังวลใจของคุณ ที่ Teeth Talk Dental Clinic จึงดูแลที่มากกว่ามาตรฐาน แต่ด้วยความใส่ใจและเข้าใจความรู้สึกของคุณในทุกขั้นตอน
- ทีมทันตแพทย์เฉพาะทางมากประสบการณ์ : เรามีทีมทันตแพทย์ผู้เชี่ยวชาญด้านโรคเหงือก (Periodontist) โดยเฉพาะ ที่พร้อมให้การวินิจฉัยสาเหตุของเหงือกร่น และวางแผนการรักษาที่เหมาะสมกับปัญหาของแต่ละบุคคล
- เทคโนโลยีวินิจฉัยที่แม่นยำและทันสมัย : เราใช้เทคโนโลยีเอกซเรย์ดิจิทัลและเครื่องมือที่ทันสมัย ทำให้สามารถประเมินระดับการสูญเสียเหงือกและกระดูกได้อย่างชัดเจน
- วางแผนการรักษาแบบองค์รวม : เราไม่ได้มุ่งเน้นแค่การรักษาปลายเหตุ แต่ยังมองไปถึงสาเหตุ เพื่อป้องกันการกลับมาเป็นซ้ำ ให้คุณมีสุขภาพช่องปากที่แข็งแรงอย่างยั่งยืน
- ใช้สิทธิประกันสังคมได้ ไม่ต้องสำรองจ่าย : สำหรับการรักษาเบื้องต้น เช่น การขูดหินปูน คุณสามารถใช้สิทธิประกันสังคมได้โดยไม่ต้องสำรองจ่าย ช่วยลดภาระค่าใช้จ่ายได้
หากคุณกำลังกังวลกับสัญญาณของเหงือกร่น หรือมีอาการที่น่าสงสัย อย่าปล่อยทิ้งไว้จนสายเกินแก้ ลองเข้ามาปรึกษาและตรวจเช็กสภาพเหงือก เพื่อรับการวินิจฉัยที่ถูกต้องและวางแผนการรักษาที่เหมาะสมสำหรับคุณ
คำถามที่พบบ่อยเกี่ยวกับอาการเหงือกร่น
เราได้รวบรวมคำถามที่หลายคนสงสัยเกี่ยวกับภาวะเหงือกร่น มาตอบให้ที่นี่แล้ว เพื่อความเข้าใจที่ถูกต้องในการดูแลตัวเอง
1. เหงือกที่ร่นไปแล้วงอกกลับขึ้นมาได้ไหม?
เนื้อเยื่อเหงือกที่สูญเสียไปแล้ว ไม่สามารถงอกกลับขึ้นมาใหม่ได้เองตามธรรมชาติ อย่างไรก็ตาม การรักษาที่ถูกต้อง เช่น การขูดหินปูนและเกลารากฟัน จะช่วยหยุดยั้งไม่ให้เหงือกร่นมากขึ้น ส่วนการผ่าตัดปลูกถ่ายเหงือก สามารถช่วยปิดรากฟันที่เผยออกมาได้ แต่ไม่ใช่การงอกใหม่ของเหงือกเดิม
2. ปล่อยเหงือกร่นไว้ไม่รักษาได้ไหม?
ไม่แนะนำอย่างยิ่ง การปล่อยทิ้งไว้จะทำให้ปัญหาลุกลาม คุณจะเสียวฟันมากขึ้นเรื่อย ๆ รากฟันที่ไม่มีเหงือกปกป้องจะผุได้ง่ายกว่าปกติ และที่ร้ายแรงที่สุดคือ การอักเสบจะทำลายกระดูกรอบฟัน จนนำไปสู่ปัญหาฟันโยกและอาจต้องสูญเสียฟันซี่นั้นไปในที่สุด
3. ป้องกันไม่ให้เหงือกร่นยังไง?
วิธีป้องกันที่ดีที่สุดคือการดูแลสุขอนามัยช่องปากอย่าง “ถูกวิธี” และ “อ่อนโยน” ได้แก่
- ใช้แปรงสีฟันขนนุ่ม และแปรงฟันด้วยเทคนิคที่ถูกต้อง (ไม่ถูไปมาแรง ๆ)
- ใช้ไหมขัดฟันทำความสะอาดซอกฟันทุกวัน
- พบทันตแพทย์เพื่อตรวจสุขภาพช่องปากและขูดหินปูนเป็นประจำทุก 6 เดือน
สรุป อย่ามองข้ามสัญญาณเตือนของเหงือกร่น
เหงือกร่นไม่ใช่แค่ปัญหาด้านความสวยงาม แต่เป็นสัญญาณเตือนของปัญหาสุขภาพเหงือกและช่องปากที่กำลังเกิดขึ้น การสังเกตเห็นอาการตั้งแต่เนิ่น ๆ และรีบเข้าพบทันตแพทย์ จะช่วยให้การรักษาง่ายขึ้น ประหยัดค่าใช้จ่าย และที่สำคัญคือสามารถรักษาฟันธรรมชาติของคุณไว้ได้ในระยะยาว
หากคุณกำลังมองหาคลินิกทำฟันที่เชี่ยวชาญและพร้อมให้คำปรึกษาอย่างละเอียด สามารถนัดหมายเพื่อประเมินสภาพฟันและวางแผนการรักษากับทีมทันตแพทย์ของเราได้ที่เบอร์โทร 099-113-8103 หรือ Line : @teethtalk หรือ Facebook Page : “Teeth Talk Dental Clinic คลินิกทันตกรรม จัดฟัน ทำฟัน” ทีมงานของเราพร้อมดูแลและมอบรอยยิ้มที่มั่นใจให้กับคุณ





