
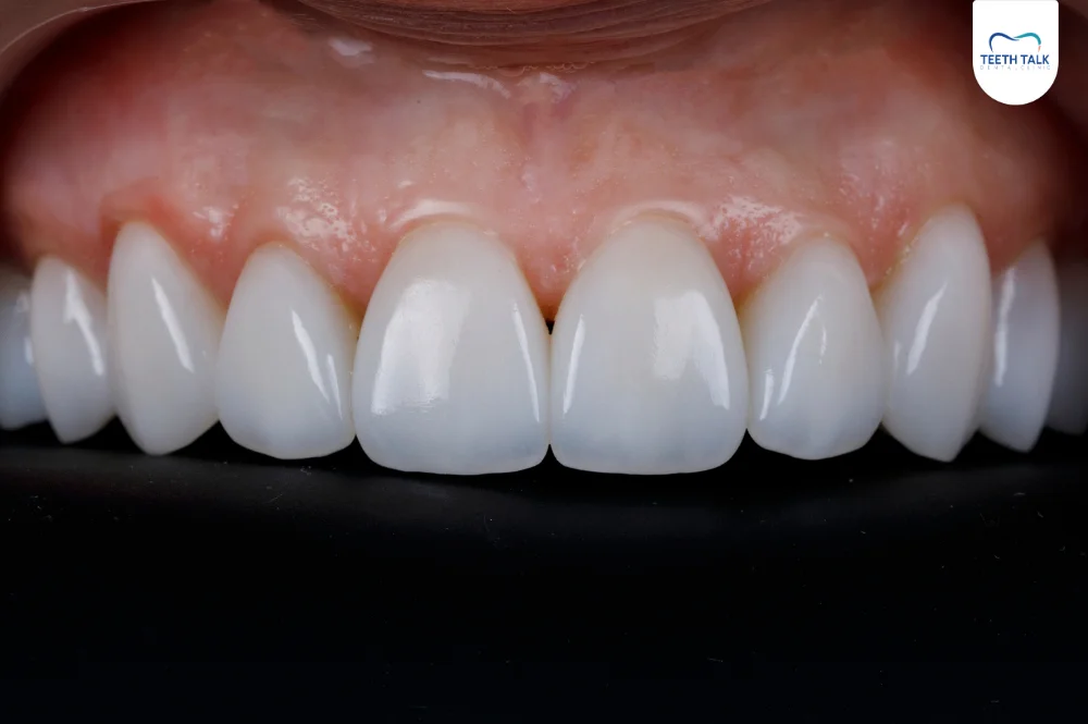
รอยยิ้มที่สวยงามคือประตูบานแรกของความมั่นใจ แต่หลายคนอาจกำลังกังวลกับปัญหาที่บั่นทอนรอยยิ้ม ไม่ว่าจะเป็นสีฟันไม่สม่ำเสมอ ฟันห่างเล็กน้อย หรือมีรอยบิ่นของฟันแตกที่ปลายฟัน ในยุคปัจจุบัน เทคโนโลยีทันตกรรมมีทางเลือกใหม่ที่กำลังได้รับความนิยมอย่างสูง นั่นคือ “วีเนียร์แบบฉีด” (Injectable Composite Veneer) ซึ่งเป็นวิธีที่ช่วยปรับปรุงรอยยิ้มให้สวยงามได้โดยแทบไม่ต้องสูญเสียเนื้อฟันธรรมชาติเลย
บทความนี้ Teeth Talk Dental Clinic จะมาเจาะลึกทุกรายละเอียดของวีเนียร์แบบฉีด ว่าแท้จริงแล้วคืออะไร ดีหรือไม่ ขั้นตอนเป็นอย่างไร แตกต่างจากวีเนียร์แบบดั้งเดิมแค่ไหน และราคาเท่าไหร่ เพื่อช่วยให้คุณตัดสินใจได้ง่ายขึ้น
วีเนียร์แบบฉีด คืออะไร?
วีเนียร์แบบฉีด คือนวัตกรรมการทำวีเนียร์ โดยใช้วัสดุอุดฟันสีเหมือนฟัน หรือ “คอมโพสิตเรซิน” (Composite Resin) ชนิดพิเศษที่มีความเหลวและไหลลื่นได้ดี โดยทันตแพทย์จะใช้วิธี “ฉีด” วัสดุนี้เข้าไปใน “แม่พิมพ์ฟัน” (Mold หรือ Stent) ที่ออกแบบมาเฉพาะบุคคล ซึ่งแม่พิมพ์นี้จะครอบอยู่บนตัวฟัน เมื่อวัสดุแข็งตัวและถอดแม่พิมพ์ออก ก็จะได้ผิวหน้าฟันใหม่ที่มีรูปร่าง สี และขนาดตามที่ออกแบบไว้ทันที ซึ่งจะแตกต่างจากการทำคอมโพสิตวีเนียร์แบบเดิม ๆ ที่ทันตแพทย์ต้องใช้ทักษะในการค่อย ๆ ปั้นวัสดุทีละชั้นบนผิวฟัน (Free-hand Technique)
วีเนียร์แบบฉีดแตกต่างจากวีเนียร์แบบอื่นอย่างไร?

การจะเลือกว่าวีเนียร์แบบไหนเหมาะกับเราที่สุด ต้องเข้าใจความแตกต่างของแต่ละประเภทก่อน Teeth Talk สรุปเปรียบเทียบให้เห็นภาพชัดๆ ดังนี้
1. เปรียบเทียบกับคอมโพสิตวีเนียร์แบบปั้น (แบบแปะ)
วีเนียร์แบบปั้น หรือ Direct Composite Veneer คือวิธีดั้งเดิมที่ทันตแพทย์จะใช้วัสดุคอมโพสิต (ชนิดปั้นได้) มาแปะและปั้นแต่งทีละชั้นบนผิวฟันของคนไข้โดยตรง อาศัยทักษะและศิลปะของทันตแพทย์เป็นหลัก
- ความแม่นยำ : วีเนียร์แบบฉีดจะแม่นยำกว่าในแง่ของรูปร่างและสัดส่วน เนื่องจากถูกกำหนดรูปทรงมาจากแม่พิมพ์ที่ออกแบบไว้ล่วงหน้า ทำให้ฟันทุกซี่มีความสมมาตรสูง ส่วนแบบปั้นจะขึ้นอยู่กับทักษะการปั้นในขณะนั้น
- ระยะเวลา : การฉีดเข้าแม่พิมพ์มักใช้เวลาทำโดยรวมเร็วกว่าการปั้นทีละซี่
- ความเรียบเนียน : วีเนียร์แบบฉีดมักได้พื้นผิวที่เรียบเนียนและเงางามจากแม่พิมพ์ทันที
2. เปรียบเทียบกับเซรามิกวีเนียร์ (Porcelain Veneers)
เซรามิกวีเนียร์ หรือวีเนียร์แบบแปะถาวร คือการใช้วัสดุพอร์ซเลน (Porcelain) หรือเซรามิก สร้างเป็นชิ้นงานผิวหน้าฟันบางๆ ในห้องแล็บ แล้วจึงนำมายึดติดบนฟันด้วยกาวชนิดพิเศษ ถือเป็นมาตรฐานสูงสุดของการทำวีเนียร์ในปัจจุบัน
- วัสดุ : วีเนียร์แบบฉีดใช้ “คอมโพสิต” ส่วนเซรามิกวีเนียร์ใช้ “พอร์ซเลน”
- การเตรียมฟัน : นี่คือจุดต่างที่สำคัญที่สุด เซรามิกวีเนียร์ส่วนใหญ่จำเป็นต้องมีการกรอฟัน หรือเตรียมผิวฟันเล็กน้อยเพื่อรองรับชิ้นงาน แต่วีเนียร์แบบฉีดแทบจะไม่ต้องกรอฟันเลย หรือเตรียมผิวฟันเพียงเล็กน้อยเท่านั้น (Minimal/No-Prep)
- ความทนทาน : เซรามิกทนทานกว่ามาก มีอายุการใช้งานเฉลี่ย 10-15 ปี ส่วนวีเนียร์แบบฉีด (คอมโพสิต) มีอายุใช้งานเฉลี่ย 3-5 ปี
- ความสวยงามและการติดสี : เซรามิกมีความเงางาม แวววาว มิติเหมือนฟันธรรมชาติ และ “ไม่ติดสี” ชา กาแฟ บุหรี่ ในขณะที่วีเนียร์แบบฉีด (คอมโพสิต) สามารถติดสีได้และต้องขัดเงาเป็นระยะ
- ราคา : วีเนียร์แบบฉีดมีราคาย่อมเยากว่าเซรามิกวีเนียร์อย่างชัดเจน
เจาะลึกข้อดี-ข้อเสียของวีเนียร์แบบฉีด

เพื่อให้ตัดสินใจได้ง่ายขึ้น เรามาดูข้อดีและข้อจำกัดของวีเนียร์แบบฉีดกัน
ข้อดีของวีเนียร์แบบฉีด
- ถนอมเนื้อฟันธรรมชาติ : แทบไม่ต้องกรอฟัน หรือกรอเพียงเล็กน้อยมาก
- เสร็จเร็ว : สามารถทำเสร็จได้ภายในครั้งเดียว (ขึ้นอยู่กับจำนวนซี่ฟัน)
- แม่นยำ : ได้รูปร่างฟันตามที่ออกแบบไว้จากแม่พิมพ์ ทำให้ได้สัดส่วนที่สวยงาม
- ซ่อมแซมง่าย : หากเกิดการแตกหรือบิ่น ทันตแพทย์สามารถซ่อมแซมเฉพาะจุดได้ง่าย
- ราคาย่อมเยา : เป็นตัวเลือกที่ประหยัดกว่าการทำเซรามิกวีเนียร์
ข้อเสียของวีเนียร์แบบฉีด
- อายุการใช้งาน : สั้นกว่าเซรามิกวีเนียร์ โดยเฉลี่ยอยู่ที่ 3-5 ปี
- การติดสี : วัสดุคอมโพสิตสามารถดูดซับสีจาก ชา กาแฟ บุหรี่ หรืออาหารสีจัดได้
- ความเงางาม : ความเงาอาจลดลงตามอายุการใช้งาน จำเป็นต้องนัดมาขัดเงา (Polishing) ทุก 6 เดือน – 1 ปี
- ข้อจำกัด : ไม่สามารถแก้ไขปัญหาสีฟันที่คล้ำมากๆ หรือปัญหาฟันเกที่ซับซ้อนได้
วีเนียร์แบบฉีด เหมาะกับใคร?
วีเนียร์แบบฉีดเป็นทางเลือกที่ยอดเยี่ยมสำหรับผู้ที่มีปัญหาเหล่านี้
- ผู้ที่มีปัญหาฟันห่างเล็กน้อยบริเวณฟันหน้า (Diastema)
- ผู้ที่มีปัญหาฟันบิ่น สึก หรือฟันแตกเพียงเล็กน้อยที่ขอบฟัน
- ผู้ที่ต้องการปรับรูปร่างฟันให้ได้สัดส่วนที่สวยงามขึ้น เช่น ฟันซี่เล็ก (Peg lateral)
- ผู้ที่ต้องการปรับสีฟันให้สว่างขึ้น แต่สีฟันเดิมไม่ตอบสนองต่อการฟอกฟันขาว
- ผู้ที่ต้องการผลลัพธ์ที่รวดเร็ว และไม่ต้องการสูญเสียเนื้อฟันจากการกรอฟัน
วีเนียร์แบบฉีด ไม่เหมาะกับใคร?
แม้จะมีข้อดีมาก แต่ก็มีข้อจำกัดสำหรับคนไข้กลุ่มนี้
- ผู้ที่มีปัญหาฟันเกซ้อนกันมาก หรือฟันยื่นมาก (ควรพิจารณาการจัดฟันก่อน)
- ผู้ที่มีปัญหาการสบฟันที่ผิดปกติรุนแรง หรือมีพฤติกรรมนอนกัดฟัน (Bruxism)
- ผู้ที่มีสุขอนามัยช่องปากไม่ดี หรือมีโรคเหงือกอักเสบรุนแรง
- ผู้ที่ต้องการความทนทานสูงสุด และไม่ต้องการกังวลเรื่องการติดสี (เซรามิกวีเนียร์จะตอบโจทย์กว่า)
ขั้นตอนการทำวีเนียร์แบบฉีด

การทำวีเนียร์แบบฉีดจะมี 4 ขั้นตอนหลัก ๆ ดังนี้
1. ปรึกษาและออกแบบรอยยิ้ม (Smile Design)
เริ่มต้นด้วยการพูดคุยกับทันตแพทย์ผู้เชี่ยวชาญ ทันตแพทย์จะตรวจประเมินสุขภาพช่องปากและความต้องการของคุณ จากนั้นจะถ่ายภาพ พิมพ์ปาก หรือสแกนฟัน 3 มิติ เพื่อนำไปออกแบบรอยยิ้ม (Digital Smile Design) และสร้างแม่พิมพ์ใส (Mold)
2. การเตรียมฟัน (และแม่พิมพ์)
หากคนไข้มีสีฟันเดิมที่ค่อนข้างคล้ำ ทันตแพทย์อาจแนะนำให้ฟอกฟันขาวก่อน เพื่อให้ได้สีวีเนียร์ที่สว่างสดใสที่สุด ในขั้นตอนนี้ ทันตแพทย์จะทำความสะอาดผิวฟัน และลองแม่พิมพ์ที่ออกแบบไว้
3. ขั้นตอนการฉีดวีเนียร์
ทันตแพทย์จะเตรียมผิวฟันเล็กน้อย เพื่อให้วัสดุยึดติดได้ดี จากนั้นจะสวมแม่พิมพ์ใสลงบนฟัน และฉีดวัสดุคอมโพสิตเรซินเหลว (ในเฉดสีที่เลือกไว้) เข้าไปในแม่พิมพ์ทีละซี่ แล้วฉายแสงให้วัสดุแข็งตัว
4. ขัดแต่งและเก็บรายละเอียด
เมื่อถอดแม่พิมพ์ออก จะได้รูปร่างฟันตามที่ออกแบบไว้ ทันตแพทย์จะทำการขัดแต่งส่วนเกินเล็กน้อย เก็บขอบให้เรียบเนียน ตรวจสอบการสบฟัน และขัดเงา (Polishing) ให้ฟันมีความสวยงามเป็นธรรมชาติ
การดูแลหลังทำวีเนียร์แบบฉีด เพื่อให้อยู่ได้นานขึ้น
การดูแลอย่างถูกวิธีจะช่วยยืดอายุการใช้งานวีเนียร์ของคุณได้
- หลีกเลี่ยงอาหารแข็ง : งดการใช้ฟันหน้ากัดแทะอาหารแข็ง ๆ เช่น น้ำแข็ง กระดูก หรือของเหนียว
- ระวังเรื่องสี : พยายามลดการบริโภคเครื่องดื่มหรืออาหารที่มีสีจัด เช่น ชา กาแฟ ไวน์แดง และควรบ้วนปากหลังรับประทาน
- ทำความสะอาด : แปรงฟันด้วยยาสีฟันที่ไม่มีผงขัดหยาบ และใช้ไหมขัดฟันทำความสะอาดซอกฟันตามปกติ
- พบทันตแพทย์ : ควรมาตรวจสุขภาพฟันและขัดเงาวีเนียร์ (Re-polishing) ทุก 6 เดือน เพื่อคงความสวยงามและขจัดคราบ
- ใส่เฝือกสบฟัน : หากคุณมีพฤติกรรมนอนกัดฟัน ควรใส่เฝือกสบฟัน (Night Guard) เพื่อป้องกันวีเนียร์แตก
ทำไมต้องทำวีเนียร์ ที่ Teeth Talk Dental Clinic
การสร้างรอยยิ้มเป็นงานศิลปะที่ต้องอาศัยความเชี่ยวชาญ ที่ Teeth Talk Dental Clinic เราพร้อมดูแลคุณด้วยจุดเด่นดังต่อไปนี้
- ดูแลโดยทีมทันตแพทย์เชี่ยวชาญ : เรามีทีมทันตแพทย์เฉพาะทางด้านทันตกรรมเพื่อความงาม (Esthetic Dentistry) ที่มีประสบการณ์และเข้าใจสัดส่วนของรอยยิ้มที่สวยงาม
- ออกแบบรอยยิ้มเฉพาะบุคคล : เราใช้เทคโนโลยี Digital Smile Design (DSD) ช่วยให้คุณเห็นภาพรอยยิ้มใหม่ก่อนเริ่มทำจริง
- วัสดุคุณภาพสูง : เราเลือกใช้คอมโพสิตเรซินเกรดพรีเมียม (Premium Grade) ที่มีความแข็งแรง และมีเฉดสีให้เลือกหลากหลาย สวยงามเป็นธรรมชาติ
- บริการครบวงจร : เราเป็นคลินิกทำฟันที่ดูแลคุณได้ครบ จบในที่เดียว ตั้งแต่การตรวจสุขภาพฟัน เคลียร์ช่องปาก ไปจนถึงการสร้างรอยยิ้มใหม่
- การดูแลที่จริงใจ : เรายึดมั่นในการเป็นมากกว่าคลินิกฟันให้คำปรึกษาที่ตรงไปตรงมา และดูแลคุณด้วยความใส่ใจในทุกขั้นตอน
การมีรอยยิ้มที่สวยงามไม่ใช่เรื่องยากอีกต่อไป ที่ Teeth Talk Dental Clinic เราพร้อมเป็นส่วนหนึ่งในการออกแบบรอยยิ้มที่ใช่ เพื่อคืนความมั่นใจในแบบของคุณ สำหรับท่านใดที่สนใจทำวีเนียร์ สามารถนัดหมายเข้ามาประเมินสภาพฟันและวางแผนการรักษากับทันตแพทย์ของเราได้เลย คุณหมอพร้อมให้คำแนะนำอย่างใกล้ชิด มั่นใจได้เลยว่าคุณจะได้รับการดูแลอย่างดีที่สุด
รวมคำถามที่พบบ่อยเกี่ยวกับการทำวีเนียร์แบบฉีด
เราได้รวบรวมคำถามยอดฮิตที่คนไข้มักสงสัยมาไว้ที่นี่
ทำวีเนียร์แบบฉีดขูดหินปูนได้ไหม?
ได้ตามปกติ และจำเป็นต้องทำ ทันตแพทย์จะใช้เครื่องมืออย่างระมัดระวังเพื่อไม่ให้กระทบผิววีเนียร์ การตรวจสุขภาพฟันและขูดหินปูนทุก 6 เดือนยังคงสำคัญมาก
วีเนียร์คอมโพสิตแบบฉีดดีไหม?
ดีมากสำหรับเคสที่เหมาะสม เช่น การปิดช่องฟันห่างเล็กน้อย แก้ไขฟันบิ่น หรือปรับสีฟัน โดยมีข้อดีคือเสร็จเร็ว ราคาย่อมเยา และถนอมเนื้อฟันธรรมชาติได้มากที่สุด
วีเนียร์แบบฉีดอยู่ได้นานไหม?
โดยเฉลี่ยประมาณ 3-5 ปี ทั้งนี้ขึ้นอยู่กับการดูแลรักษา พฤติกรรมการรับประทานอาหาร และการกลับมาขัดเงาตามนัดของคนไข้
วีเนียร์แบบฉีดแตกต่างจากฟันปลอมอย่างไร?
แตกต่างกันโดยสิ้นเชิง วีเนียร์แบบฉีดเป็นงาน “ทันตกรรมเพื่อความสวยงาม” โดยจะทำบนผิวหน้าฟันซี่เดิมที่ยังอยู่ แต่ฟันปลอมใช้เพื่อ “ทดแทน” ฟันที่สูญเสียไปทั้งซี่
ฟันแตกทำวีเนียร์ได้ไหม?
หากเป็นเคสฟันแตก หรือบิ่นเพียงเล็กน้อยที่ขอบฟัน สามารถใช้วีเนียร์แบบฉีดซ่อมแซมได้ดีมาก แต่หากรอยแตกมีขนาดใหญ่ ลึกถึงชั้นเนื้อฟัน หรือรากฟัน อาจต้องรักษาด้วยวิธีอื่น เช่น การทำครอบฟัน หรือรักษารากฟัน
สรุป วีเนียร์แบบฉีด ตัวเลือกปรับปรุงรอยยิ้มแบบเร่งด่วน
วีเนียร์แบบฉีด ถือเป็นทางเลือกที่ยอดเยี่ยมสำหรับผู้ที่ต้องการปรับปรุงรอยยิ้มอย่างเร่งด่วน แก้ไขปัญหาฟันเล็กน้อย โดยถนอมเนื้อฟันธรรมชาติไว้ได้มากที่สุด และมีงบประมาณที่จำกัด หากคุณสนใจหรือยังลังเลว่ารอยยิ้มของคุณเหมาะกับการทำวีเนียร์ประเภทใด สามารถนัดหมายเข้ามาปรึกษาทันตแพทย์ผู้เชี่ยวชาญของเราได้ที่ Teeth Talk Dental Clinic เรายินดีให้คำแนะนำที่ดีที่สุดสำหรับคุณ ติดต่อได้ที่เบอร์โทร 099-113-8103 หรือ Line : @teethtalk หรือ Facebook Page : “Teeth Talk Dental Clinic คลินิกทันตกรรม จัดฟัน ทำฟัน” ทีมงานของเราพร้อมดูแลและมอบรอยยิ้มที่มั่นใจให้กับคุณ





